Bring back your smile with confidence!
Restore your smile with crowns and bridges! Perfect for replacing damaged or missing teeth, giving you a strong, natural-looking smile in no time!"




Crowns & bridges bring back the beauty of your smile with lasting results!
Missing teeth or damaged smile? We've got you covered! At our clinic, we offer high-quality crowns and bridges that restore both function and beauty. Get the perfect fit and a natural-looking smile, so you can chew, speak, and smile confidently again!
Differences between crown and bridges.




Bridges.
Crowns.
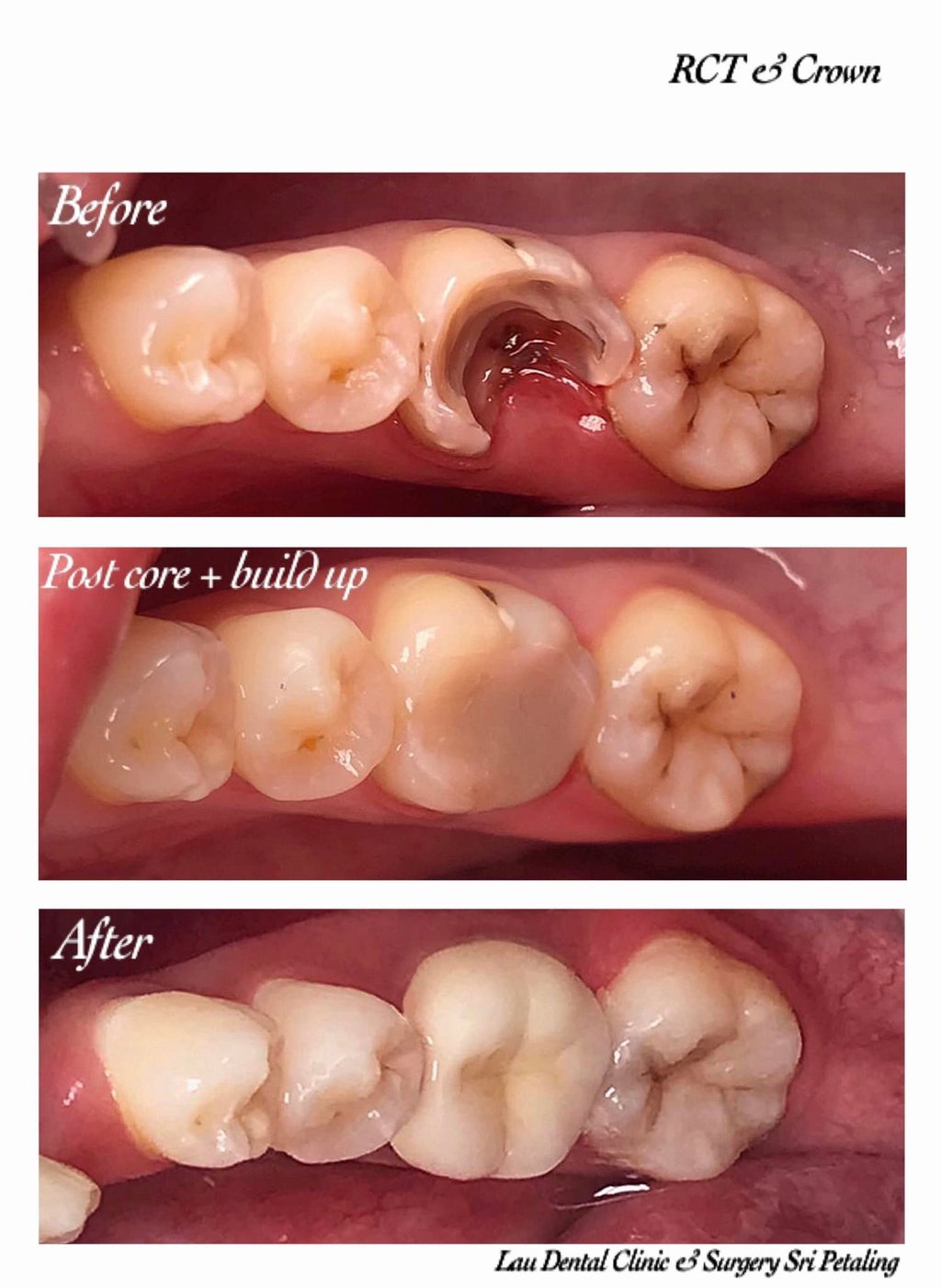
Crown is a tooth-shaped cap that is placed over a damaged, decayed, or weakened tooth to restore its shape, size, strength, and appearance. It fully encases the visible portion of the tooth above the gum line and is commonly used after root canal treatment, to cover a large filling, or to protect a cracked or worn-down tooth.
Dental bridge is a fixed dental restoration used to replace one or more missing teeth by anchoring an artificial tooth (or teeth) to the adjacent natural teeth or dental implants. The "bridge" literally bridges the gap created by the missing tooth, helping restore function, bite, and appearance.
Types of Crown/Bridges material.




Porcelain Fused Metal (PFM).
Metal.
Zirconia.
A metal crown is a type of dental crown made entirely from metal alloys such as gold, nickel, chromium, or palladium. It is known for its exceptional strength and durability, making it ideal for molars or back teeth where chewing pressure is highest. While not as aesthetic as tooth-colored options, metal crowns rarely chip or break and require less removal of the natural tooth.
A porcelain-fused-to-metal (PFM) crown is a type of dental crown that combines a strong metal base with a tooth-colored porcelain coating. This design provides both durability and a natural appearance, making it suitable for both front and back teeth. While it looks more natural than a full metal crown, the porcelain can sometimes chip, and a dark metal line may appear near the gum over time.
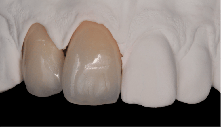
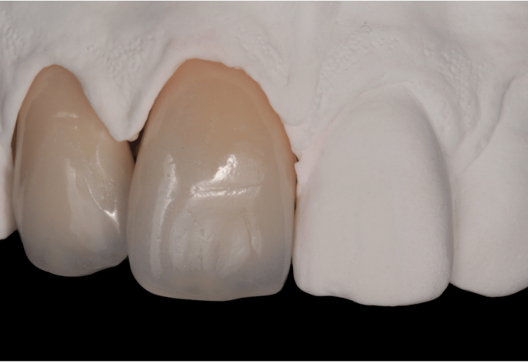
A zirconia crown is a dental crown made from zirconium dioxide, a very strong ceramic material known for its durability and natural appearance. It’s highly resistant to cracks and wear, making it ideal for both front and back teeth. Zirconia crowns are also biocompatible, meaning they’re gentle on the gums and less likely to cause allergic reactions.




Porcelain Fused Zirconia (PFZ).
IPS - EMAX.
A porcelain-fused-to-zirconia (PFZ) crown combines a strong zirconia core with an outer layer of porcelain for a natural, tooth-like appearance. It offers the strength and biocompatibility of zirconia with improved aesthetics from the porcelain layer, making it suitable for both front and back teeth. However, like other porcelain-based crowns, there's a small risk of chipping over time.
An IPS Emax crown is a type of all-ceramic dental crown made from lithium disilicate, a high-strength glass-ceramic known for its excellent aesthetics and durability. It provides a very natural, translucent look, making it ideal for front teeth, while still being strong enough for some back teeth. IPS E.max is metal-free and biocompatible, reducing the risk of gum irritation or allergic reactions.


Where Precision Meets Perfection.
Exquisite Crowns & Bridges for the Elite Smile.














