Wisdom tooth woes? We’ve got you covered.
Having trouble with a stubborn wisdom tooth? Minor Oral Surgery is a quick and effective way to relieve pain and protect your oral health.




Minor surgery, major relief.
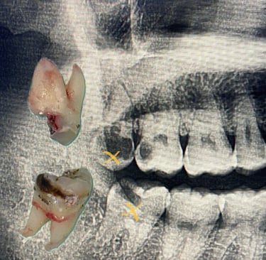
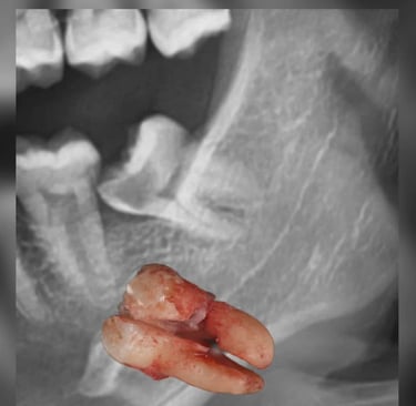
Minor Oral Surgery (MOS) is a routine dental procedure used to treat conditions such as impacted wisdom teeth, broken tooth roots, or oral infections that require more than standard dental care.
At Lau Dental Clinic & Surgery, we are fully equipped with on-site X-ray facilities, allowing us to assess and diagnose your condition quickly and accurately — often enabling same-day treatment. With extensive experience in managing a wide range of MOS cases, our highly skilled dental surgeon can perform most procedures safely and efficiently during your visit.
Whether you're dealing with a painful wisdom tooth or require a minor surgical extraction, you can count on Lau Dental Clinic & Surgery for expert care with minimal discomfort and a smooth recovery.
Understanding Minor Oral Surgery (MOS): What You Need to Know.


If you've ever had a wisdom tooth that just won't stop aching, or you've been told your tooth is "impacted," chances are you've heard about Minor Oral Surgery (MOS). While the name might sound intimidating, MOS is actually a straightforward and commonly performed dental procedure — and at Lau Dental Clinic & Surgery, we make the experience as smooth and stress-free as possible.
So, What Exactly Is MOS?
Minor Oral Surgery involves small surgical procedures done inside the mouth, often under local anaesthesia. The most common reason patients need MOS is to remove impacted or partially erupted wisdom teeth. However, it’s also used for removing broken tooth roots, treating dental cysts, or even preparing the mouth for dentures or implants. Unlike major surgery, MOS is minimally invasive, doesn’t require general anaesthesia, and is usually completed in under two hours.


How Does the Procedure Work?
At Lau Dental Clinic & Surgery, the process begins with a thorough consultation and digital X-ray, all done in-house. This allows us to assess your condition on the spot — and in many cases, proceed with treatment on the same day.
Once you're comfortable and the area is numb, our experienced dentist gently makes a small incision to access the tooth or problem area. Depending on the complexity, the tooth may be removed whole or in smaller sections. The site is then cleaned and stitched if necessary. Most MOS procedures here take only about 1 to 1.5 hours, and patients are often surprised by how quick and painless it feels.


When Do You Need MOS?
You might need Minor Oral Surgery if you’re experiencing:
Persistent pain or swelling at the back of your mouth
Difficulty opening your mouth fully
A wisdom tooth that’s growing sideways or hasn't fully emerged
Recurrent infections or swelling around a partially erupted tooth
A tooth that’s broken beneath the gum line
Small lumps, cysts, or growths in your mouth that need to be examined or removed
If you’re facing any of these symptoms, don’t wait — early treatment can prevent further complications.
Why Choose Lau Dental Clinic & Surgery?
What sets Lau Dental Clinic & Surgery apart is our commitment to both expertise and efficiency. Our in-house X-ray facilities mean faster diagnosis, and our skilled dental surgeon has handled a wide range of MOS cases with confidence. Many patients are treated on the same day as their consultation, saving them time and discomfort.
We understand that oral surgery can be nerve-wracking — but from the moment you walk in, our team is here to support you with clear communication, gentle care, and professional follow-up. Your comfort and recovery are our top priorities.


Aftercare and Recovery.
Recovery from Minor Oral Surgery is generally smooth, especially when the right aftercare is provided — and that’s exactly what we focus on at Lau Dental Clinic & Surgery. After your procedure, our team will give you a full set of post-operative instructions and care tips, so you’ll know exactly how to manage your wound, reduce swelling, and promote faster healing at home.
As part of our follow-up, we also provide:
Suture removal
Wound cleaning
Guidance on oral hygiene during recovery
Our care doesn’t stop after the surgery — we check in to make sure everything is healing as expected. If any complications like dry socket occur (a common issue after wisdom tooth removal), our experienced dentist can clean and treat the area promptly to relieve your pain and support proper healing. At Lau Dental Clinic & Surgery, your recovery is just as important as your procedure — and we're here every step of the way.


