
Clear. Comfortable. Confident.
Discover how Invisalign can transform your smile—without the look of traditional braces. Nearly invisible, custom-fit, and designed for comfort.




Why Invisalign?
Invisalign is preferred over traditional braces due to its discreet appearance, comfort, convenience, and potential for better oral hygiene. These clear aligners are less noticeable than metal braces, allow for easier cleaning, and can often lead to a faster treatment time.

Advantages of Invisalign.
Virtually Invisible.
Invisalign blend seamlessly with your smile, so you can straighten your teeth discreetly.
Comfortable & Removable.
Designed for a perfect fit, Invisalign are easy to take out and gentle on your mouth.
Predictable Results.
Advanced technology maps out your smile journey from start to finish with precision.
Improved Oral Hygiene.
Removable aligners make it easy to brush and floss, helping you maintain a healthier smile.
No food restrictions.
Enjoy all your favorite meals without worry, thanks to removable Invisalign.
Less irritation and discomfort.
Smooth, custom-fit aligners mean a more comfortable straightening experience.
Can Treat a Wide Range of Cases.
From simple to complex, Invisalign is designed to handle various orthodontic needs effectively.
Fewer Dental Emergencies.
No brackets or wires means less risk of unexpected trips to the dentist.
1
2
3
4
5
6
7
8
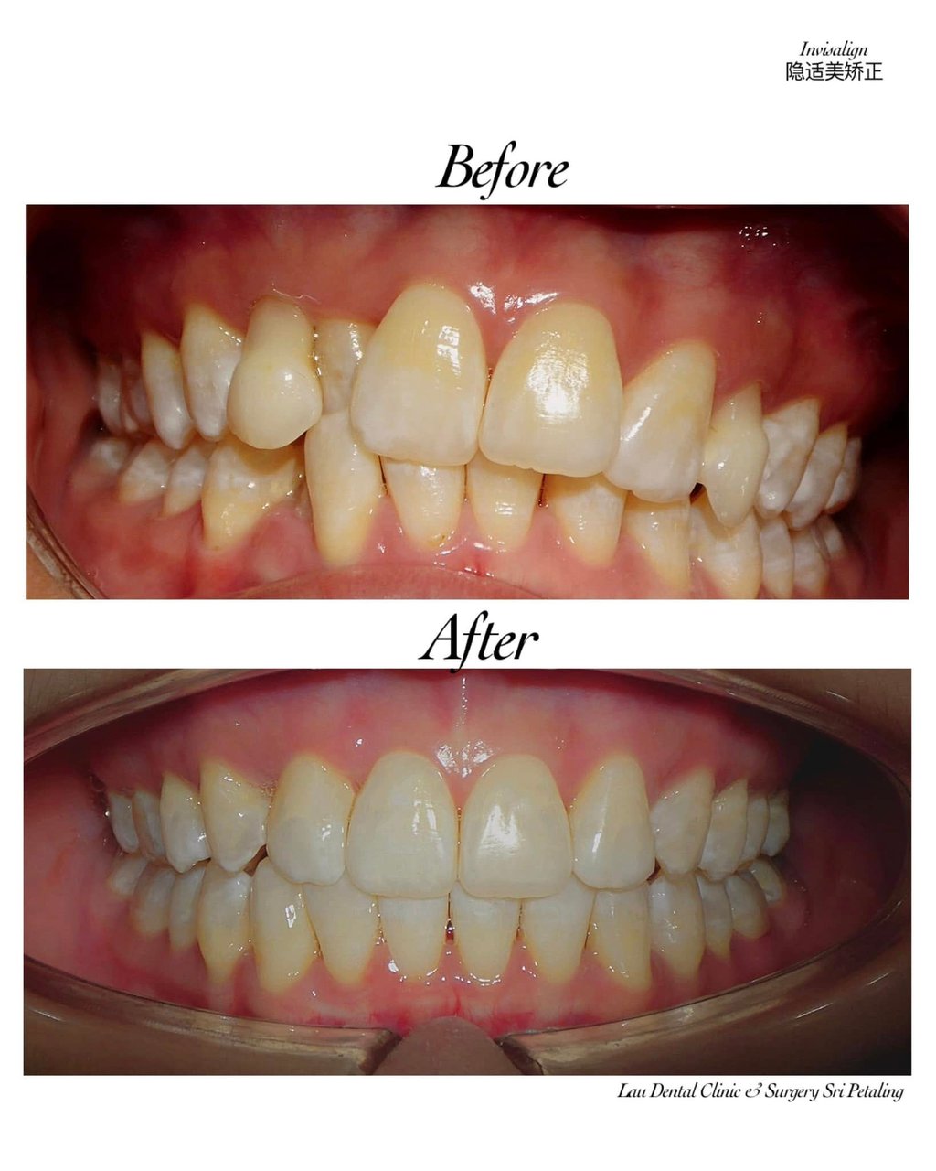
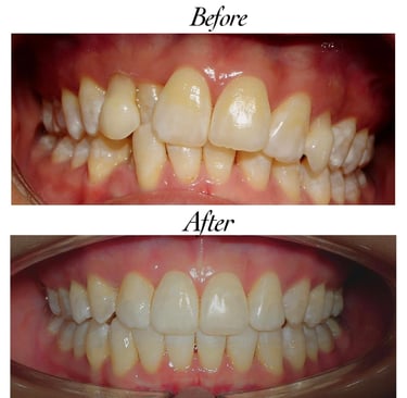
Discover the Art of Transformation.
Explore our award-winning Invisalign gallery, where stunning before-and-after results speak for themselves.
















Lau Dental Receives Prestigious Invisalign Provider Award!
Celebrating Excellence in Invisalign Care: A Testament to Our Expertise
We are thrilled to announce that Lau Dental has been honored with the Invisalign Provider Award for our outstanding commitment to providing personalized, high-quality care to our patients. This recognition highlights our proficiency in using Invisalign clear aligners to help patients achieve their perfect smile with comfort and confidence.
At Lau Dental, we take pride in offering the latest orthodontic solutions tailored to your unique needs. Our experienced team of certified Invisalign providers works closely with each patient to design a treatment plan that is effective, discreet, and comfortable. Whether you’re considering Invisalign for cosmetic reasons or functional improvements, you can trust us to guide you every step of the way.
Come visit us and experience why we’re a trusted name in Invisalign care!


