Say goodbye to gaps and hello to a confident smile with dental implants!
These innovative, permanent solutions replace missing teeth with a natural-looking, durable restoration that feels and functions just like your own.




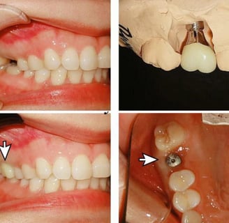
Transform Your Smile with Dental Implants at Lau Dental Clinic & Surgery!
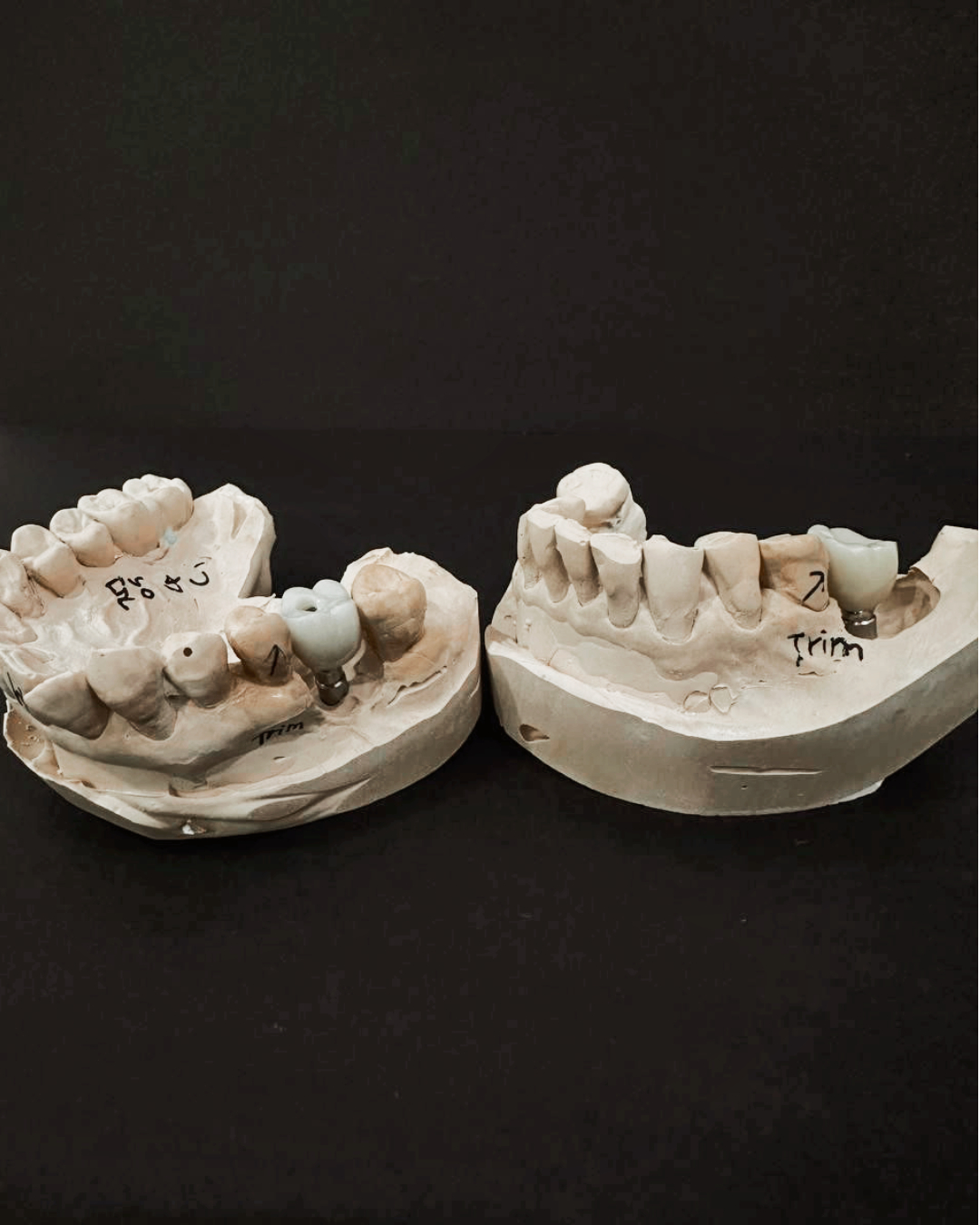
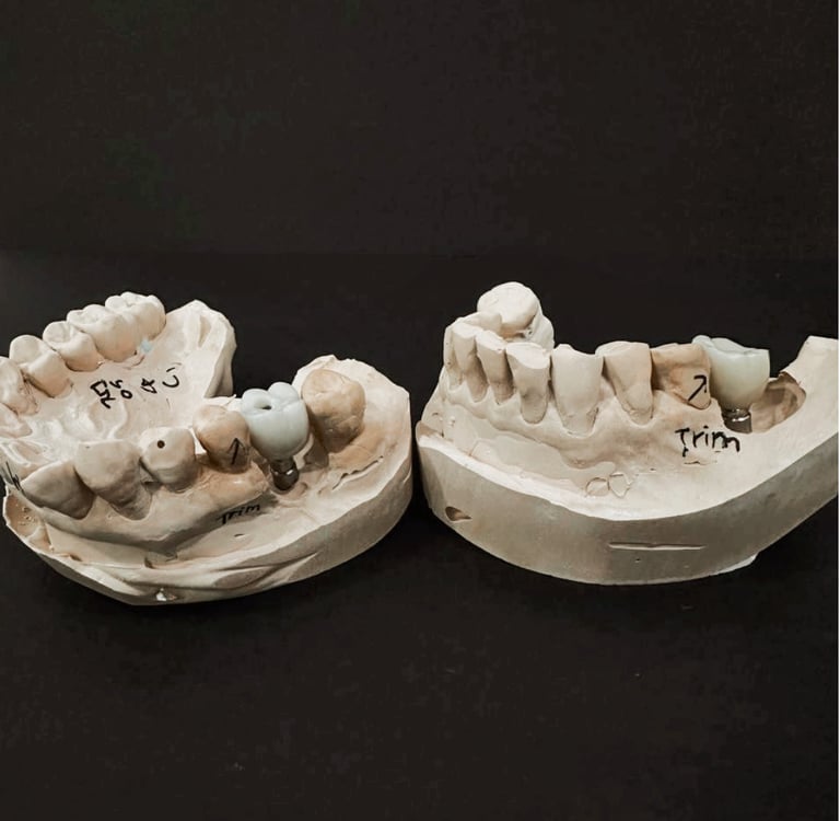
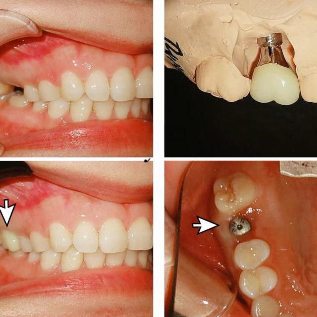
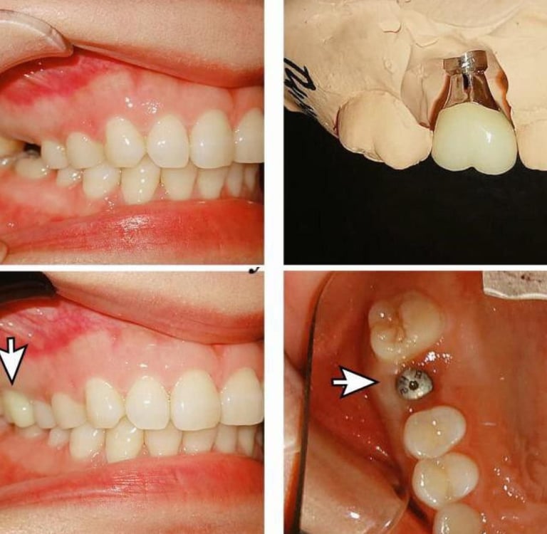
If you're missing a tooth or struggling with uncomfortable dentures, dental implants could be the perfect solution for you. A dental implant is a modern, permanent option to replace missing teeth, providing you with a natural-looking and functional smile. The process involves a titanium post being placed into the jawbone, which acts as a new "root" for a custom-made crown, restoring both appearance and bite.
At Lau Dental Clinic & Surgery in Sri Petaling, we specialize in dental implants and are committed to helping you regain your confidence and quality of life. Our team of experienced professionals ensures that each step of the implant process is handled with precision and care.
Types of Dental Implants.








