We don’t just fix teeth — we design smiles.
Your smile says a lot about you — why not make it unforgettable?
With our personalised smile design and high-quality veneers, we help you achieve a confident, natural-looking smile that suits your face, your style, and your life. Whether you're correcting chips, gaps, or discolouration, our approach blends art and precision for results that truly shine.




Smile Design & Veneers – A New Smile, Designed for You.
Your smile is one of the first things people notice — it reflects your confidence, warmth, and personality. But what if small imperfections like uneven edges, discolouration, or gaps are holding your smile back?
That’s where smile design comes in.
At Lau Dental Clinic and Surgery, we believe every smile is unique. Our smile design process combines dental expertise with artistic precision to create a smile that complements your facial features, skin tone, and personal style. And one of the most effective tools we use? Veneers — ultra-thin, custom-made shells that enhance the appearance of your teeth without looking fake or overdone.
Whether you're looking for subtle improvements or a full smile makeover, our goal is simple: to help you feel confident every time you smile.
The Art of a Natural Smile.


A Smile Worth Designing – Your Veneer Journey.
You’ve always wanted a better smile — not too flashy, just natural, balanced, and bright. Maybe there’s a little gap that’s always bothered you. Or teeth that look a little worn, uneven, or discoloured from years of coffee and life.
You’ve smiled through it all, of course. But deep down, you’ve wondered: what if my smile could match how I feel inside?
At Lau Dental Clinic and Surgery, that’s exactly where smile design comes in.
From the moment you sit down with our dentist, it’s not just about your teeth — it’s about your face, your expressions, your goals. We study the way you smile, laugh, and speak. We plan every detail — shape, shade, symmetry — to make sure your new smile looks natural, yet beautifully refined.
Then come the veneers — ultra-thin, custom-crafted layers placed gently over your natural teeth. Just enough to perfect what’s already there. It’s painless, precise, and transforms your smile almost instantly.
When you finally see yourself in the mirror — smiling fully, freely, confidently — it’s not just your teeth that change. It’s how you show up in the world.
Because smile design isn’t about changing who you are.
It’s about revealing the best version of you — one smile at a time.






The Art of a Natural Smile.
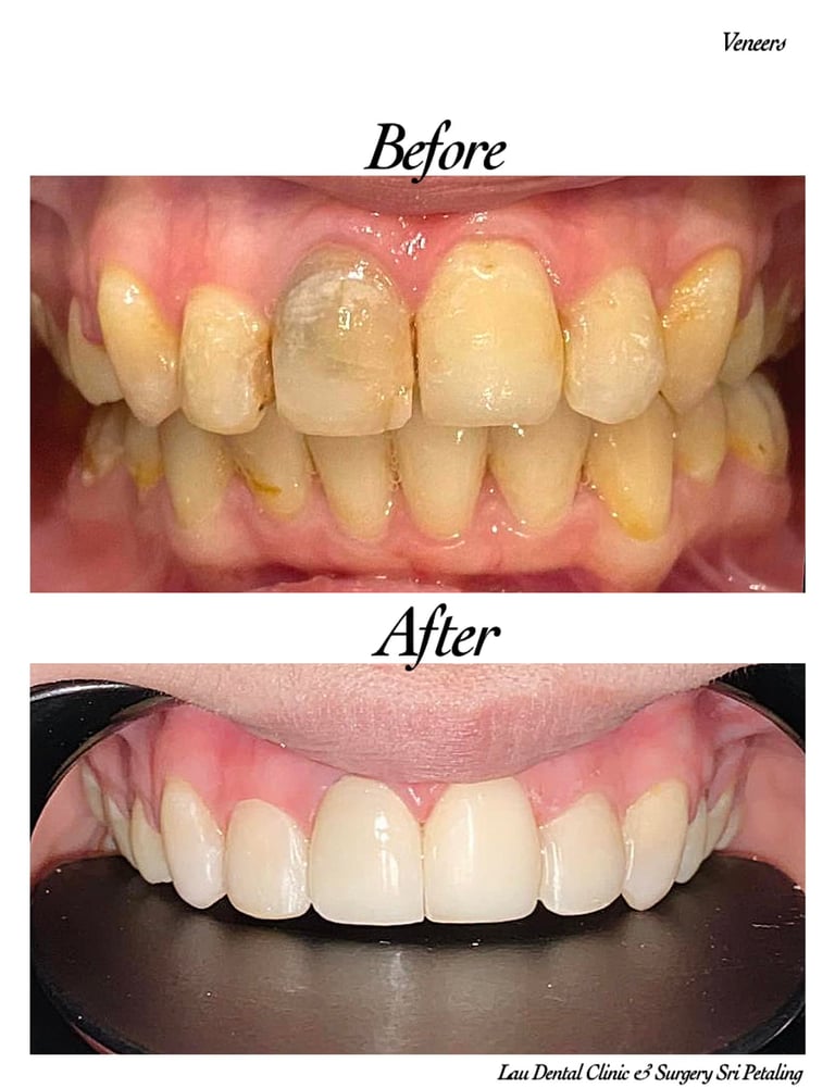
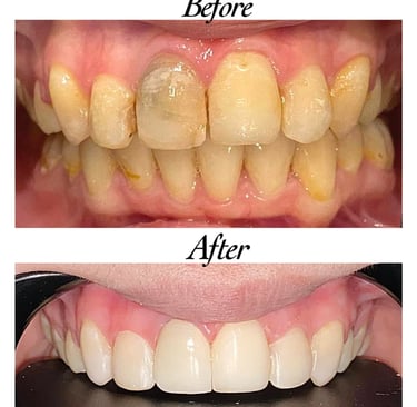
Prepare to Be Amazed: Before & After Smile Designs That Speak for Themselves
Our Smile Design Gallery is where artistry meets dentistry. These stunning before-and-after transformations showcase the incredible skills of our expert team, turning smiles into masterpieces. Every smile is crafted with precision, passion, and the latest techniques, delivering results that will leave you speechless.
Ready to experience your own smile transformation? Take a look and get inspired! 😁








